Во внешнем облике человека большую роль играет его улыбка. Именно поэтому большинство уделяет своим зубам так много внимания.
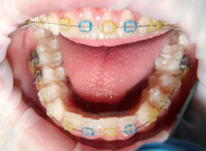
Чаще всего люди с неправильным прикусом жаждут исправить свое положение, благодаря использованию брекетов. Эти конструкции работают по принципу тяги, где каждый элемент играет свою роль в коррекции. Благодаря этому, процесс восстановления челюстной системы происходит максимально заметно, причем в кратчайшие сроки. Пройти курс по изменению аномального искривления можно в приватной стоматологии «Ласка», которая обещает отличные результаты и дает гарантию на выполненные процедуры.
Обращаясь в представленное учреждение, клиенты могут не сомневаться в том, что качество лечения будет высоким, а уровень сервиса – безупречным. И это неудивительно, ведь врачи сделали все возможное, чтобы, находясь в стенах центра, пациенты чувствовали себя комфортно и безопасно. Кроме того, поскольку опыт врачей построен на работе с передовыми технологиями и оборудованием, они способны выполнить свое задание оперативно и качественно. Пользуясь разнообразными материалами от ответственных поставщиков, клиника дает возможность клиентам выбрать брекеты согласно своим пожеланиям, финансовым возможностям и образу жизни. При необходимости, грамотный специалист подскажет наиболее оптимальный вариант изделия, сэкономив немалую сумму средств.
Стоимость установки брекетов разумна, и не нанесет существенного ущерба кошельку пациентов. Ознакомиться с действующим прайс-листом, а также приятным скидкам можно на сайте - https://pslaska.kiev.ua/uk/service/breketi/.
Комфортное лечение с приятным результатом
ПС «Ласка» на протяжении долгого времени обретала репутацию надежного исполнителя стоматологических услуг. Дорожа своим имиджем, команда профессионалов продолжает поддерживать свою квалификацию, проходя регулярное обучение и улучшая свои навыки. Помимо этого, сотрудничество с клиникой имеет и другие преимущества:
- Сверхстандартны безопасности.
- Удобное месторасположение.
- Строгий контроль стерилизации инструментов.
- Наличие оборудования для панорамного снимка зубов.
- Бесплатные консультации.
Как видно, созданная здесь обстановка, принесет удовольствие всем, кто решит воспользоваться услугами центра. Курс ношения брекетов пройдет незаметно, а полученный эффект будет радовать пациентов изо дня в день. Благодаря этому человек обретет уверенность в себе, не пряча ни от кого свою улыбку.
