Неизвестный... ампутировал бездомной собаке все четыре лапы.
Тема № 1 в краматорских группах соцсетей сегодня - обращение к горожанам членов Благотворительного фонда "Друг", в котором зоозащитники сообщают о диком по своей жестокости инциденте: неизвестный живодер ампутировал бездомной собаке все 4 лапы, и в таком виде бросил животное умирать на улице.
По информации активистов "Друга", собаку искалечили около месяца назад. Она жила на территории одного из пригородных дачных городков на Пчелкино, ее подкармливал пенсионер. И вот однажды "... она, живая, приползла к дедушке (...) вся в крови, с отрубленными лапами.. Дедушка, как мог, залечил страшные раны, давал антибиотики, засыпал стрептоцидом, и культи немного поджили.."
Однако затем пенсионер сам слег в больницу, и собака попала в "Друг". Сейчас ее взяла к себе домой на временную передержку женщина с добрым сердцем, а зоозащитники думают, как помочь собаке дальше.

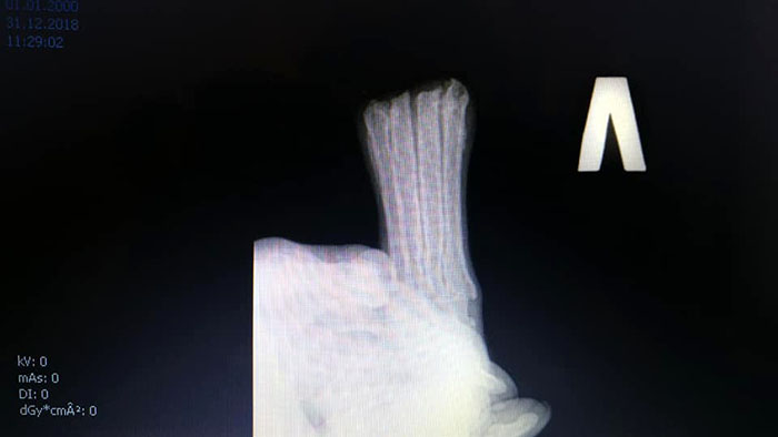
Как сообщила нашему изданию руководитель фонда "Друг" Наталья Титомир, медики, которые осматривали и оказывали первую помощь Санни - такую кличку дали собаке - после сделанного рентгена однозначно заявили, что характер травм у собаки позволяет сделать вывод о том, что увечья нанесены умышленно, каким-то острым предметом. То есть, собака пострадала не в результате несчастного случая.

-- Я не могу представить себе мотивов человека, который совершил такую жестокость, - говорит Наталья Титомир.
Активисты "Друга" надеются, что проблему Санни помогут решить добровольные посильные взносы неравнодушных горожан. "Любая сумма, даже 10 грн , приближает ее к новым лапам, - пишут активисты. - Деньги можно переводить на карту фонда 5168 7573 0988 6267 Черкасова Кирина Анатольевна, через Приват 24, с пометкой "ДЛЯ САННИ". Делать пометку очень важно - иначе деньги будут потрачены на других животоных, которые проживают на передержке".
Судя по откликам и комментариям в соцсетях, краматорчане крайне возмущены дикой выходкой неизвестного живодера, и активно делают взносы для пострадавшей собаки.

КСТАТИ
На официальном сайте горсовета Краматорска сегодня, 4 февраля, появились проекты решения членов горисполкома и депутатов горсовета в ответ на петицию с требованием организовать в городе борьбу с бездомными собаками. Как следует из проектов, бороться планируют так: "Коммунальному автотранспортному предприятию 052 810 обеспечить осуществление мероприятий по регулированию численности бездомных животных гуманными методами в пределах бюджетного финансирования".
Напомним, что летом минувшего года в Краматорске началась практическая реализация общегородской "Программы регуляции численности бездомных животных гуманными методами". Однако, по словам Натальи Титомир, вся "реализация" свелась к разовой акции по стерилизации 120 собак, отловленных на территории города, и с тех пор процесс, к сожалению, остановился...

Комментарии